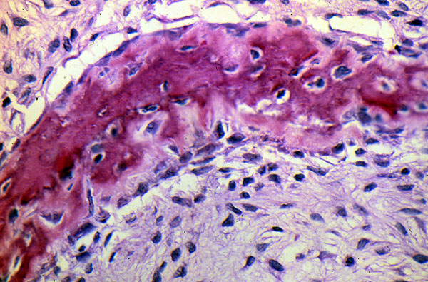
Fibrous dysplasia, micro
Click picture to enlarge. Close window to return

Typical microscopic appearance of trabecular bone in fibrous dysplasia. There is fibrous replacement of the marrow spaces, and the bone spicules are composed of woven rather than lamellar bone.