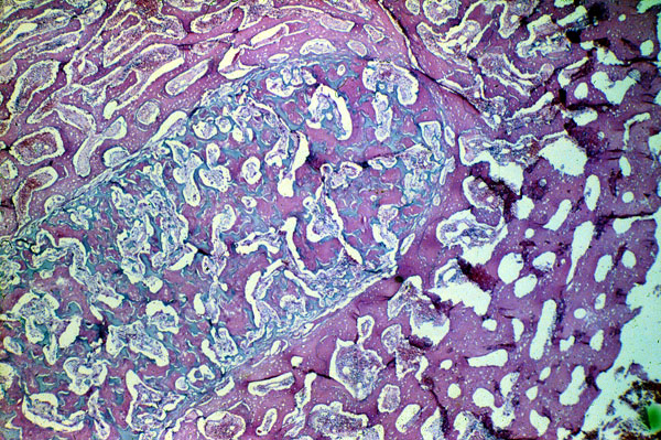
Osteopetrosis, rib, micro
Click picture to enlarge. Close window to return

Microscopic cross-section of rib in osteopetrosis showing hyperostotic cortex at lower right and medullary bone, thereby reducing the potential marrow space.