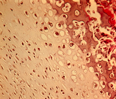
Achondroplastic dwarfism, disordered growth plate, micro
Click picture to enlarge. Close window to return
Disordered
growth plate
and
metaphysis
in
achondroplasia
, micro.