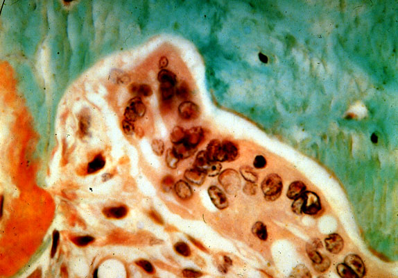
Bone, Paget disease, undecalcified section, micro, abnormal osteoclast
Click picture to enlarge. Close window to return

Enormous osteoclast in Pagetic bone, undecalcified microscopy