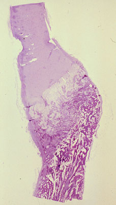
Rickets, chondrocostal junction, micro
Click picture to enlarge. Close window to return
Low magnification microscopic image of an enlarged costochondral junction in
rickets
.