Inflammatory disorders
Click picture to enlarge. Close window to return
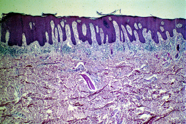
Psoriasis
, micro, epidermal
hyperplasia
with picket fence like elongation of the rete ridges.