Infectious disorders
Click picture to enlarge. Close window to return
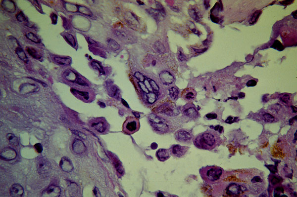
Herpes simplex
, micro, note the nuclear inclusions and multinucleated giant cells.