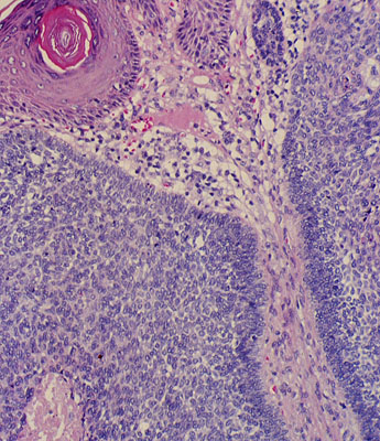
Squamous cell neoplasia
Click picture to enlarge. Close window to return
Basal cell
carcinoma
, micro,
invasive
mass of basaloid cells.