Squamous cell neoplasia
Click picture to enlarge. Close window to return
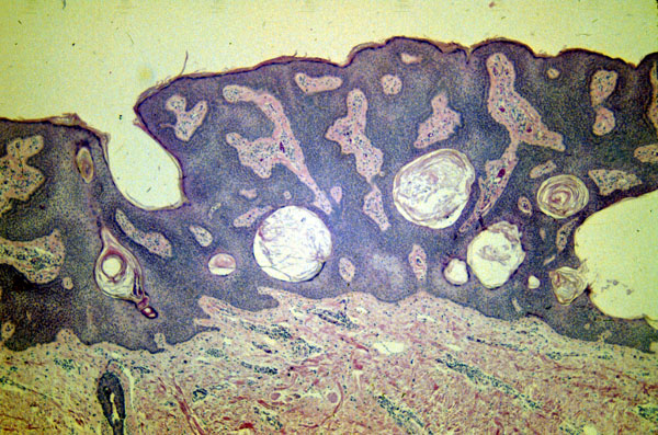
Seborrheic keratosis
, micro, exophytic proliferation of follicular infundibular like cells.