Melanotic neoplasia
Click picture to enlarge. Close window to return
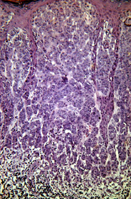
Vertical growth phase
melanoma
, micro, central part of the lesion, malignant melanocytic cells are invading deeply into the dermis.