Melanotic neoplasia
Click picture to enlarge. Close window to return

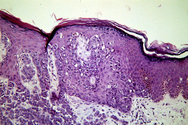
Vertical growth phase melanoma, micro, edge of the lesion showing the same scatter of individual cells above and below the dermoepidermal junction seen in the radial growth phase melanoma.