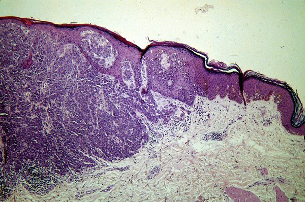
Melanotic neoplasia
Click picture to enlarge. Close window to return
Vertical growth phase
melanoma
, micro, edge of the lesion, poorly demarcated.