Melanotic neoplasia
Click picture to enlarge. Close window to return

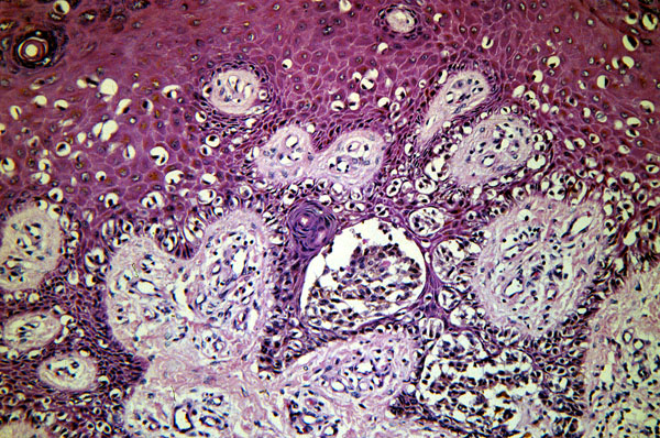
Radial growth phase melanoma, micro, center of the lesion, same irregular scatter of individual malignant melanocytic cells in the epidermis and papillary dermis as seen in the above slide.