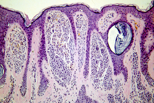
Melanotic neoplasia
Click picture to enlarge. Close window to return
Melanocytic
nevus
, micro, (congenital nevus) discrete nests of nevus cells in the dermis.