Infectious disorders
Click picture to enlarge. Close window to return
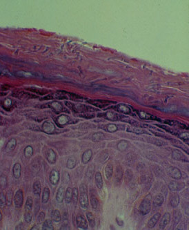
Tinea
, micro, growth of fungus elements is confined to the corneum, the accompanying inflammatory reaction is often similar to a contact
hypersensitivity reaction
.