Inflammatory disorders
Click picture to enlarge. Close window to return
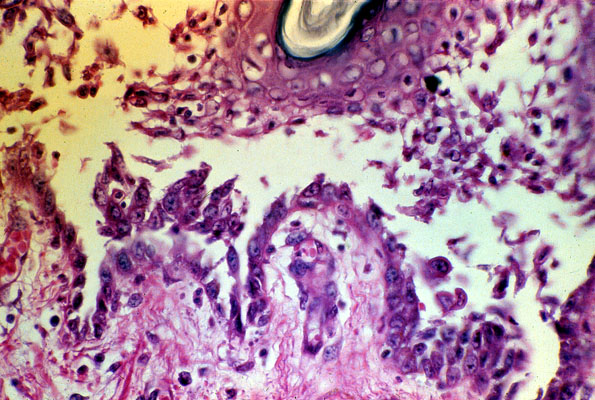
Pemphigus vulgaris
, micro, squamous cell are coming apart, acantholysis.