Inflammatory disorders
Click picture to enlarge. Close window to return

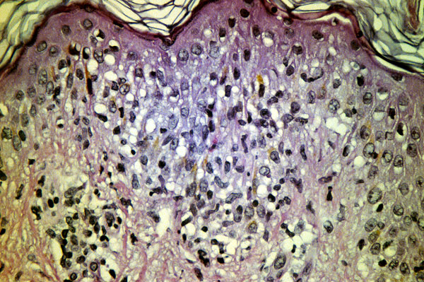
Langerhans cells are stained brown, these cells are responsible for the Allergic contact dermatitis, micro, migration of lymphocytes into the epidermis (headed toward the surface where the antigen is) and epidermal edema.