Inflammatory disorders
Click picture to enlarge. Close window to return

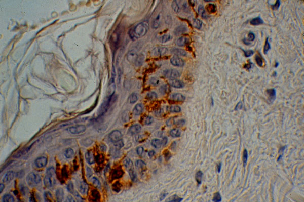
Allergic contact dermatitis, micro of anti-S100 stain, Langerhans cells are stained brown, these cells are responsible for the T-cell mediated nature of many of the epidermal inflammatory diseases.