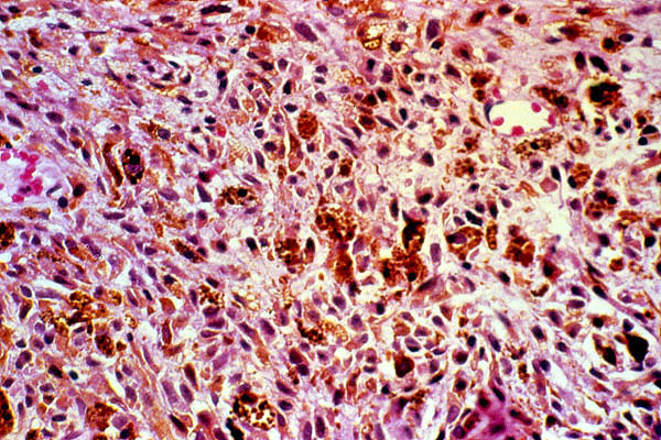
Uveal melanoma, micro
Click picture to enlarge. Close window to return

Micro, uveal melanoma
By what route does this neoplasm metastasize and where is it most likely to go if it leaves the eye?