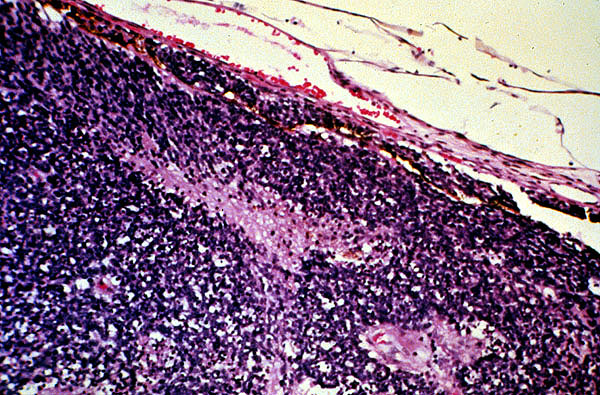
Retinoblastoma, micro, low power
Click picture to enlarge. Close window to return