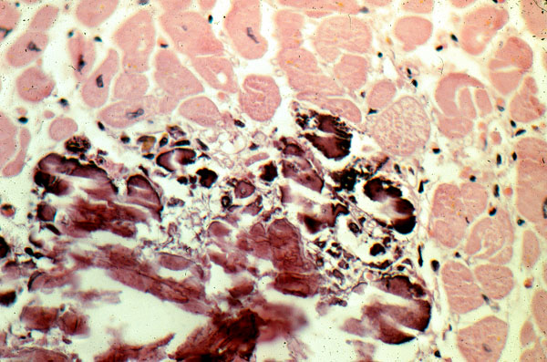
Metastatic calcification, heart, micro
Click picture to enlarge. Close window to return
Metastatic calcification
of the heart, micro, in secondary parathyroid
hyperplasia
.