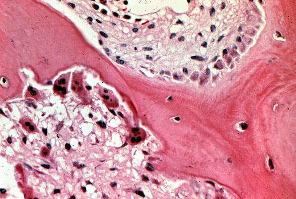
Primary hyperparathyroidism, bone, micro
Click picture to enlarge. Close window to return

Osteitis fibrosa cystica, micro, showing an osteoclast-containing resorption cavity in a bone spicule, with reactive osteoblasts lining an adjacent formative bone surface. Osteoblasts are the source of bone alkaline phosphatase (ALP) which is characteristically elevated in the serum of patients with hyperparathyroidism.