Primary hyperparathyroidism
Click picture to enlarge. Close window to return

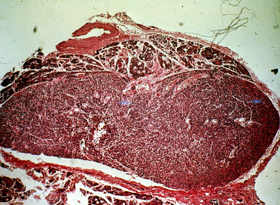
Parathyroid adenoma, whole mount, micro. Shows a well cirumscribed chief cell adenoma lacking interspersed fat cells, and surrounded by a rim of normal, fat-containing parathyroid tissue. These are usually solitary nodules of golden brown color, compressing adjacent normal parathyroid tissue.