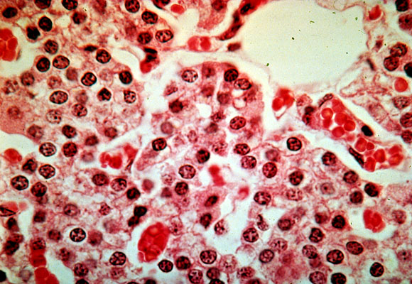
Parathyroid, Chief cells, micro
Click picture to enlarge. Close window to return

Parathyroid chief cells, micro. These small polygonal cells with finely granular cytoplasm are the major source of parathyroid hormone (PTH).