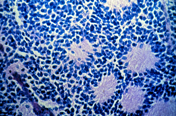
Neuroblastoma
Click picture to enlarge. Close window to return
Neuroblastoma
, micro, showing
rosette
formation by small blue malignant cells.