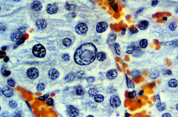
Pheochromocytoma, adrenal, micro
Click picture to enlarge. Close window to return

Pheochromocytoma, micro, reveals polyhedral cells with some nuclear atypia. (In this particular tumor, atypia does not necessarily indicate malignancy, and most pheochromocytomas are benign.)