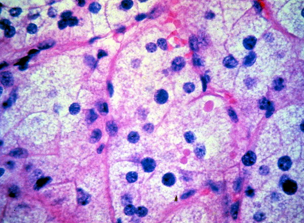
Adrenal, cortex, micro, Conn syndrome
Click picture to enlarge. Close window to return

Hyperplasia of zona glomerulosa cells.