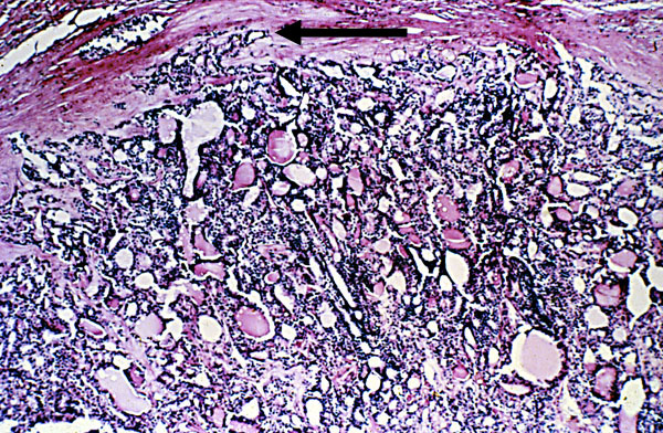
Follicular carcinoma, micro, thyroid
Click picture to enlarge. Close window to return

This photmicrograph shows the edge of the lesion with evidence of capsular invasion (black arrow). This is a well differentiated neoplasm, i.e., the follicular structure of the parent tissue is preserved; however, the carcinoma cells show hyperchromatic nuclei.