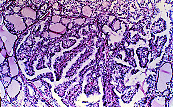
Papillary carcinoma, micro,thyroid
Click picture to enlarge. Close window to return

This photomicrograph shows well-differentiated papillae with hyperchromatic surface epithelial cells, and no capsular separation of tumor cells from adjacent normal thyroid follicles.