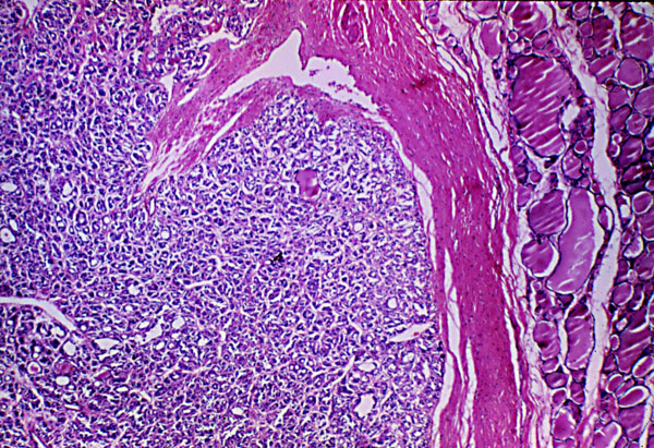
Follicular adenoma, thyroid, micro, low power
Click picture to enlarge. Close window to return

This photomicrograph hows an intact fibrous capsule surrounding the adenoma and separating it from adjacent normal thyroid.