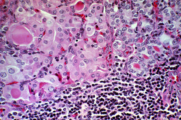
Hashimoto thyroiditis, thyroid, photomicrograph, high power
Click picture to enlarge. Close window to return

Lymphocytic infiltrate in Hashimoto thyroiditis, micro, higher magnification showing Hurthle cells, i.e., altered follicular cells demonstrating abundant, granular, eosinophilic cytoplasm.