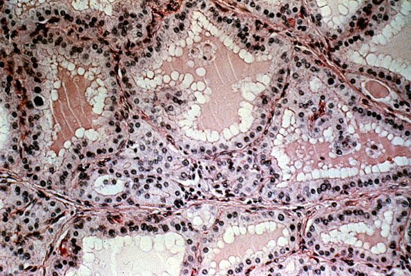
Graves disease, thyroid, photomicrograph
Click picture to enlarge. Close window to return

Diffuse hyperplasia of the thyroid in Graves disease, micro, showing high-columnar follicular epithelium and scalloping of the colloid at its interface with follicular cells, indicating on-going colloid resorption.