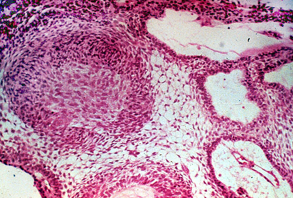
Suprasellar craniopharyngioma, photomicrograph
Click picture to enlarge. Close window to return

Same case, micro: an epithelial tumor imitating in many respects the histology of the enamel organ.