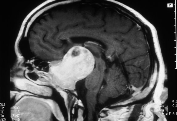
Macroadenoma of pituitary, MRI, saggital view
Click picture to enlarge. Close window to return

MRI scan of macroadenoma: sagittal view.