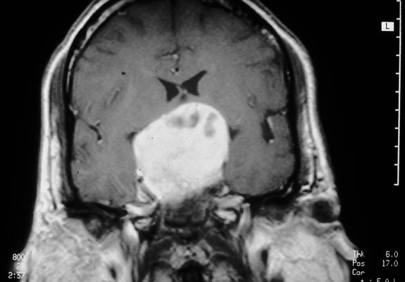
Macroadenoma of pituitary, MRI, frontal view
Click picture to enlarge. Close window to return

MRI scan of macroadenoma, frontal view.