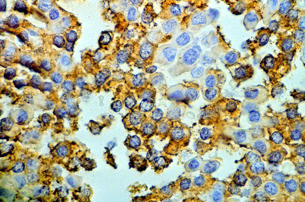
Cushing disease, basophilic adenoma, ACTH immunostain
Click picture to enlarge. Close window to return

Same basophilic adenoma with immunostaining for ACTH in adenoma.