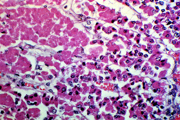
Partial infarction of anterior lobe, micro
Click picture to enlarge. Close window to return

Partial infarction of anterior lobe (caused by intra-partum venous stasis). Involved cells have lost nuclear staining. (H&E)