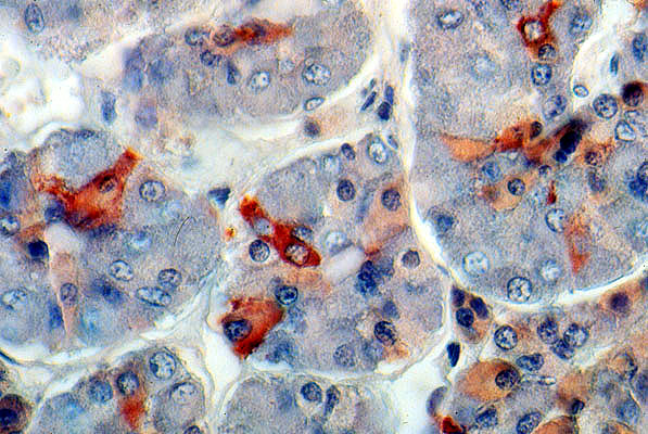
Prolactin-producing cells, immunostain
Click picture to enlarge. Close window to return

A more commonly used method to distinguish between pituitary anterior lobe cells is to immunostain the hormone they produce. This particular case shows positive staining for prolactin-producing cells.