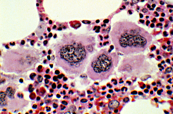
Essential thrombocytosis, bone marrow biopsy, histology
Click picture to enlarge. Close window to return

This medium power view of a bone marrow shows increased cellularity, with a cluster of abnormally large megakaryocytes, a finding typical of essential thrombocytosis. The surrounding hemopoietic cells are a polymorphous population of erythroid and myeloid precursors, with less that 5% blasts. There was minimal reticulin fibrosis.