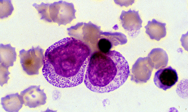
Leukoerythroblastic findings, agnogenic myeloid metaplasia, peripheral bloo
Click picture to enlarge. Close window to return

The peripheral blood shows an increase in white blood cells and nucleated RBCs, a characteristic feature of AMML. This slide shows 2 promyelocytes and 2 nucleated red blood cells. Teardrop RBCs are also usually present in this disorder.