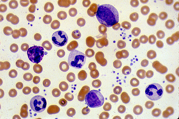
Chronic myelogenous leukemia, peripheral blood
Click picture to enlarge. Close window to return

There is an increase in WBCs and platelets. The WBCs are present in all stages of maturation, with a characteristic predominance of segmented neutrophils and myelocytes ("myelocyte bulge"). Three segmented neutrophils, 2 myelocytes, one band and one basophil are observed.