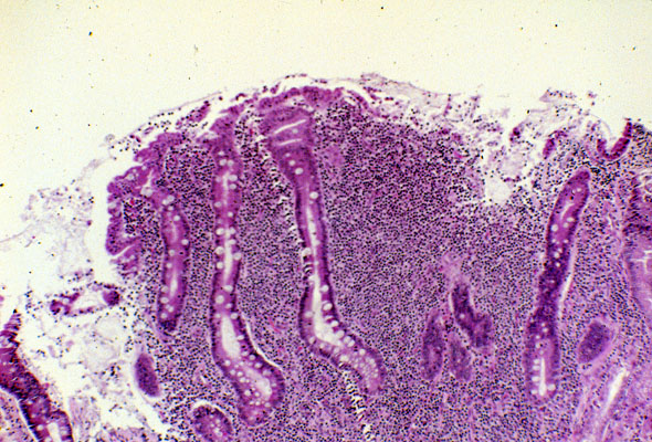
Enteropathy-associated T-cell lymphoma, small intestine, histology
Click picture to enlarge. Close window to return

This is a small intestinal biopsy in a patient with a history of malabsorption and a prior diagnosis of sprue. This slide shows the presence of an extranodal NHL which infiltrates the wall of the intestine.