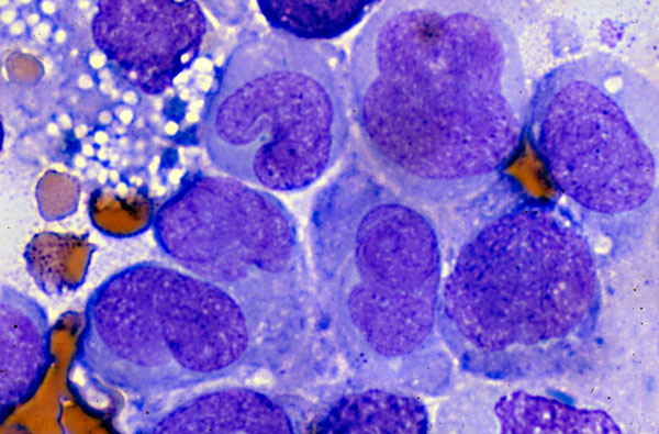
Acute monoblastic leukemia, with maturation, bone marrow aspirate
Click picture to enlarge. Close window to return

The CBC showed a WBC count of 48,000/ul, a hemoglobin of 10 gm/dl and platelets of 30,000/ul. The bone marrow was diffusely infiltrated by leukemic blasts and various stages of maturing monocytic cells. In this slide, the leukemic cells display nuclear folding , reniform-shape nuclei and have abundant pale blue cytoplasm, consistent with monocytic differentiation.