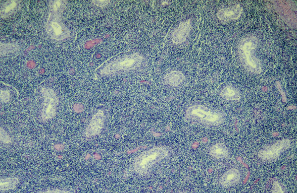
Acute lymphoblastic leukemia, infiltration of testis, histology
Click picture to enlarge. Close window to return

This slide shows residual atrophic seminiferous tubules which are surrounded by a dense infiltrate of leukemic blasts. The testis is a common site of leukemic relapse in males with ALL. This patient had a T- cell ALL, and presented with a WBC count of 230,000/ul.