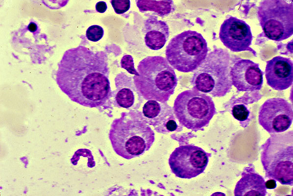
Multiple myeloma, bone marrow aspirate
Click picture to enlarge. Close window to return

This bone marrow is infiltrated by an atypical population of plasma cells. Note the eccentric placement of the nucleus and the abundant cytoplasm of the neoplastic plasma cells.