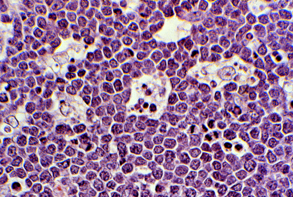
Burkitt lymphoma, histology
Click picture to enlarge. Close window to return

The lymphoma is composed of a monotonous population of cells with prominent nucleoli. Note the presence of tingible-body macrophages and the high mitotic rate. This tumor has the highest rate of proliferation of any human tumor, and a prompt diagnosis is important to the survival of the patient.