Paratrabecular lymphoma, bone marrow biopsy, histology
Click picture to enlarge. Close window to return

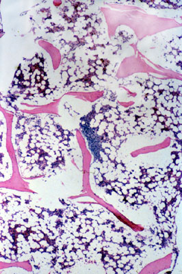
This bone marrow biopsy shows an atypical lymphoid aggregate located in the paratrabecular region, a typical finding when a follicular lymphoma involves the bone marrow. Low grade lymphoma involves the bone marrow in approximately 60% of cases, and the quantity of marrow involvement is an important feature in staging the extent of the patient's disease.