Click picture to enlarge. Close window to return

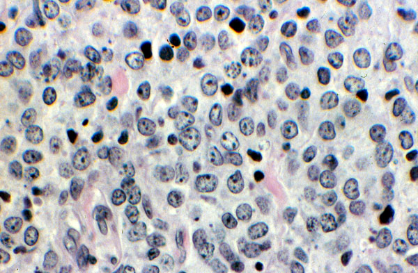
This lymph node is involved by a lymphoma with a diffuse growth pattern, and is composed predominantly of large cells which have multiple nucleoli. Note that mitotic figures are fairly numerous.