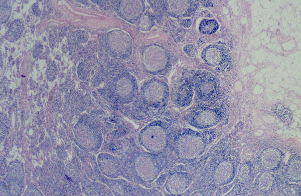
Low grade follicular lymphoma, mesenteric fat, histology
Click picture to enlarge. Close window to return

The mesenteric fat is infiltrated by non-Hodgkin lymphoma. This low power view highlights the distinct follicular (nodular) growth pattern of this lymphoma.