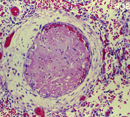
Thrombotic thrombocytopenic purpura, thrombosis
Click picture to enlarge. Close window to return

A renal arteriole is occluded by a thrombus without any associated inflammation or fibrinoid necrosis. Virtually any organ can contain these microthrombi in TTP, but clinical manifestations most commonly involve the kidney and brain.